Na Refinate Odontologia, combinamos tecnologia de ponta, ambiente acolhedor e uma equipe especializada para oferecer tratamentos completos.
Nós somos a Refinate Odontologia — um espaço dedicado a transformar sorrisos e cuidar da saúde bucal com excelência. Há 16 anos em Chapecó, unimos tecnologia de ponta, um ambiente acolhedor e uma equipe de 7 dentistas apaixonados pelo que fazem, comprometidos em oferecer uma experiência humana e personalizada a cada paciente. Com 8 consultórios modernos e uma estrutura pensada para conforto e eficiência, já cuidamos de mais de 50 mil pessoas, devolvendo sorrisos em casos que vão desde a perda de um único dente até reabilitações completas com próteses do tipo protocolo. Mais do que uma clínica, somos um lugar onde histórias são resgatadas e sonhos de sorrisos perfeitos se tornam realidade. Nossa trajetória é guiada pela paixão, pela ética e pela inovação — e pelo compromisso diário de oferecer o melhor da odontologia moderna a quem confia em nós.
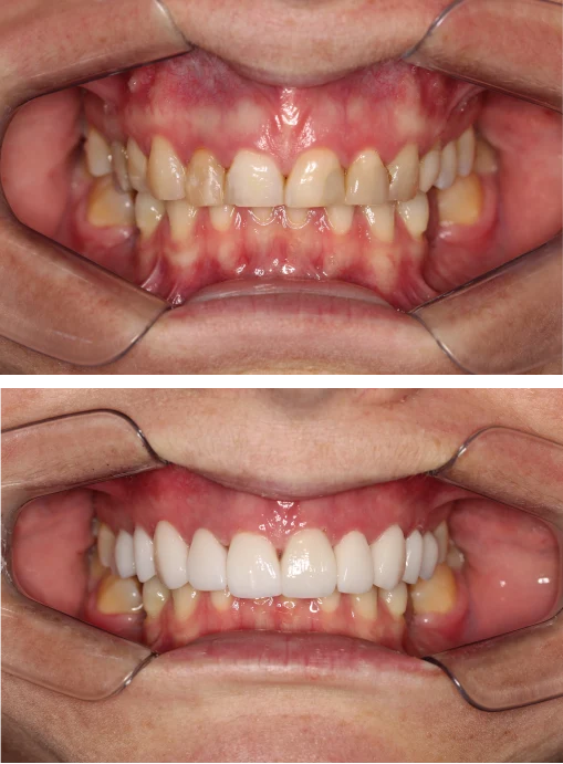
O protocolo dentário é uma reabilitação fixa sobre implantes, indicada para quem perdeu todos os dentes. Utiliza de 4 a 6 implantes para sustentar uma prótese total, devolvendo função mastigatória, estética e estabilidade com resultados duradouros e naturais.
O implante dentário unitário substitui um dente perdido com precisão e naturalidade. Com uma raiz de titânio integrada ao osso, sustenta uma coroa que devolve função, estética e equilíbrio ao sorriso.
As lentes de porcelana são uma solução estética moderna e duradoura para transformar o sorriso. Com tecnologia avançada, criamos lentes ultrafinas e personalizadas que corrigem manchas, espaçamentos e imperfeições, garantindo um resultado natural e harmonioso.
As facetas de resina são uma opção prática e acessível para corrigir manchas, desalinhamentos e espaçamentos entre os dentes. Utilizamos materiais de alta qualidade para garantir um acabamento natural e duradouro, com resultados rápidos e personalizados que transformam o sorriso de forma eficaz.
Conheça a nossa equipe!
Especialista em prótese dentária
Especialista em Harmonização Orofacial e Mestre em Ciência da Saúde
O que nossos clientes estão falando no Google.
Publicado em Celita PereiraTrustindex verifica se a fonte original da avaliação é Google. Muito bom só gratidão a essa equipe maravilhosa obrigado a dr Ana dr Bárbara e ao dr daison por cuidar tão bem do meu filho jean deus abençoe a cada umPublicado em Elizabete Raquel Lavina CarniatoTrustindex verifica se a fonte original da avaliação é Google. Ótimo atendimento com profissionais excelentes.Publicado em Gustavo VillenaTrustindex verifica se a fonte original da avaliação é Google. Excelente clínica odontológica e gestores. muito boaPublicado em ironi ceconTrustindex verifica se a fonte original da avaliação é Google. Ótimos profissionais, atendimento especial.Publicado em Adão Pedro Nogueira NogueiraTrustindex verifica se a fonte original da avaliação é Google. foi ótimaPublicado em Detuli StoreTrustindex verifica se a fonte original da avaliação é Google. ótimo atendimento, local muito agradavel.Publicado em Wandeilson san'tsTrustindex verifica se a fonte original da avaliação é Google. Excelente
Marque sua consulta.

Especialista em prótese dentária
Especialista em Harmonização Orofacial e Mestre em Ciência da Saúde